¡Aceleramos tu carrera en la odontología estética!
Formación práctica, actualizada y guiada por expertos
Busca nuestros cursos por categoria
CURSOS ONLINE
Estudiantes certificados
Ciudades visitadas
+
Calificaciones de 5 estrellas
ENTRENAMIENTOS PRESENCIALES
Capacítate con especialistas y aprende técnicas de aplicación inmediata en tu práctica clínica.
Máster en Rehabilitación Oral, Estética y Digital
Un programa único en Colombia, en alianza con PgO UCAM (España), con docentes internacionales de referencia mundial y un plan de estudios innovador que combina la excelencia académica con la práctica clínica
- Barranquilla, Colombia
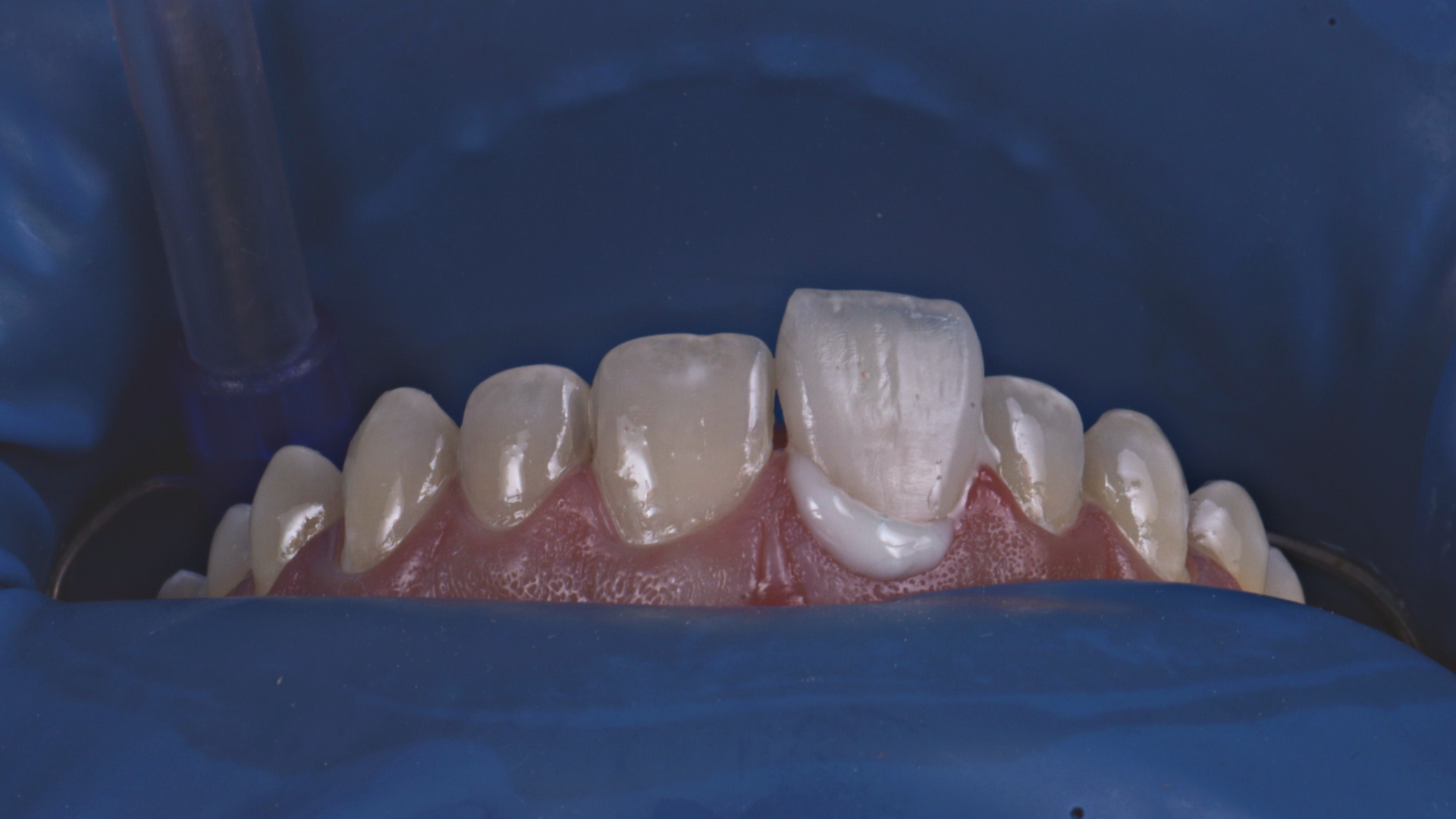
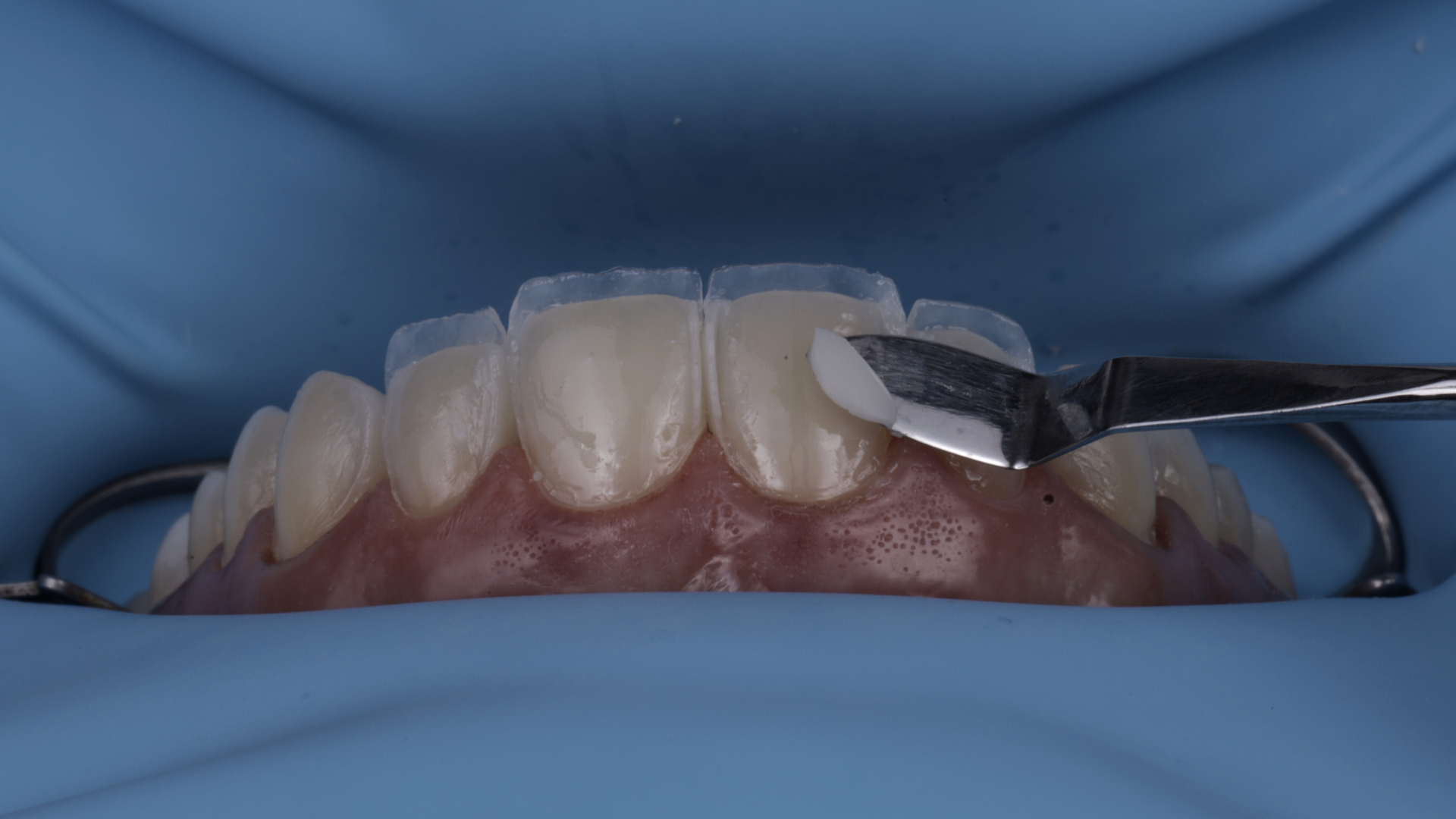
Full Veneers
Dictado por el Dr. Daniel Zabaleta, especialista en Rehabilitación Oral, Estética y Dentística con más de 20 años de experiencia y más de 19.000 casos clínicos exitosos.
UNA ELECCIÓN QUE MARCA LA DIFERENCIA
¿POR QUÉ ESTUDIAR EN KERS INSTITUTE?
1. PRIMERO HACEMOS, LUEGO ENSEÑAMOS
Entrenamientos online y presenciales basados en la práctica real y la experiencia clínica.
2. Estudia a tu propio ritmo
Cursos online prácticos, dinámicos y fáciles de seguir, diseñados para adaptarse a tu tiempo.
3. TUTOR ACADÉMICO
Acceso a tutores especializados para resolver tus dudas mientras avanzas en tu formación.
4. Mentorías en vivo
Sesiones interactivas de preguntas y respuestas en cada entrenamiento para aclarar inquietudes.
5. OBTIENES CERTIFICADOS
Al finalizar tu entrenamiento recibirás un diploma digital y serás un experto en el programa que seleccionaste.
6. Nuestra comunidad de odontólogos
Únete a un grupo exclusivo donde podrás compartir experiencias, resolver dudas y crecer junto a otros colegas.
Lo más reciente en formación y eventos KERS
¿QUÉ DICEN NUESTROS ESTUDIANTES?
Experiencias de profesionales que eligieron nuestra formación en odontología estética.
“ Dr. Daniel Zabaleta! Excelente profesional, excelente ser humano, excelente equipo de trabajo. Solo me quedo con cosas lindas y conocimiento muy provechoso para continuar con esta hermosa carrera.
Sin pensarlo, volvería a repetir la experiencia IDZ ❤️”
ÍNGRID ESPINAL
Student“Una experiencia única, Daniel dió a conocer sus conocimientos, su práctica y sus mejores trucos sin ocultar nada, un verdadero interés que pudiéramos aprender la verdadera estética dental. ESO SÓLO LO PUEDE HACER UN GRAN MAESTRO. ”
JAVIER PINEDA
Student“Sencillamente espectacular! Una experiencia única, personalizada, enriquecedora y muy completa. La etapa Hands-On del curso te permite aplicar toda la teoría enseñada.
Un gran equipo que te acompaña durante todo el proceso.
Recomendada al 100%
#ViveLaExperienciaIDZ”
SANDY HERNANDEZ
Student“Una institución con un nivel educativo de alta calidad, se vive una experiencia profesional y personal bastante agradable, 100 % recomendado.”
JUAN SEBASTIÁN JACOB
Student“Excelente entrenamiento en estratificación natural con resinas compuestas, profesionalismo, ética, una experiencia increíble donde interactuamos y charlamos de todo, marketing, práctica sobre modelos, y súper caso con paciente en vivo, recomendado ,💯”

